A-Wurf
Trächtigkeitstagebuch
Um unseren Interessenten, zukünftigen Hundeeltern und allen interessierten Mitlesern einige Einblicke zu geben, schreiben wir hier unsere Erlebnisse, Impressionen und allerlei Neuigkeiten nieder!
01., 02. und 03. März 2019
Côlwen wurde erfolgreich von Iron (Ibiscus Wolf Ar Borin Braz) gedeckt.
Dazu fuhren wir in die 750km entfernt liegende Heimat von Iron, in die Bretagne.
Wir wurden bei Familie Lévy, den Besitzern des Deckrüden sehr herzlich aufgenommen.
Für Côlwen und uns alle war es eine sehr spannende Reise, da bis dahin niemand wusste was auf uns alle zukommen würde.
11. März 2019
Heute waren wir mit Côlwen beim Tierarzt weil sie so lange nach dem Deckakt immer noch leicht und dunkel blutet. Die Ultraschall-Untersuchung ergab, dass alles in Ordnung ist. Erst im Nachhinein habe ich herausgefunden, dass es durchaus normal ist, dass Hündinnen nach dem Deckakt weiter bluten und dass es sogar ein gutes Zeichen sein soll.
Gewicht: 29,2 kg
17. März 2019 (16. Tag)
Seit gestern blutet Côlwen nicht mehr!
Bisher hat Côlwen recht gut gefressen.
Wir bilden uns ein, dass sie etwas anhänglicher ist.
Heute Nacht hat mich die Dame des öfteren geweckt um im Garten Gras zu fressen.
24. März 2019 (23, Tag)
Heute waren wir auf dem Hundeplatz.
Das Training haben wir recht schnell abgebrochen, weil Côlwen bei jedem der etwas zu Fressen dabei hatte (und das ist einfach jeder auf dem Hundeplatz) an der Tasche hing und nicht mehr weiter wollte. Ihre Verfressenheit ging sogar so weit, dass sie mir meine Butterbrezel aus der Hand klauen wollte. Côlwen klaut sonst nie!
Beim Spazierengang ist Côlwen zurückhaltender und spielt weniger.
Sie ist in der Zwischenzeit deutlich anhänglicher und sehr verschmust. Andere Hündinnen riechen sehr interessiert an ihr.
31. März 2019 (30. Tag/Anfang 5. Woche)
Seit dem 26. März frisst Côlwen nur noch sehr mäkelig. Einen Tag kann man sie mit Quark locken, am nächsten dreht sie beim gleichen Fressen den Kopf zur Seite. Das gleiche Spiel mit (ausnahmsweise) Trocken- und Dosenfutter. Fleisch frisst sie gerade gar nicht mehr.
Es ist zu lesen, dass das normal sei, aber man macht sich doch so seine Gedanken.
Wir vermuten sehr, dass sie trächtig ist. Ihr Verhalten hat sich sehr verändert, sie ist anhänglicher, ich muss lange und oft ihren Bauch kraulen, ihr ist immer wieder schlecht und heute habe ich (zu meiner absoluten Freude) endlich einmal Schleim an ihrer Scheide
gesehen. Das ist wohl ein ziemlich sicheres Anzeichen für eine Trächtigkeit!
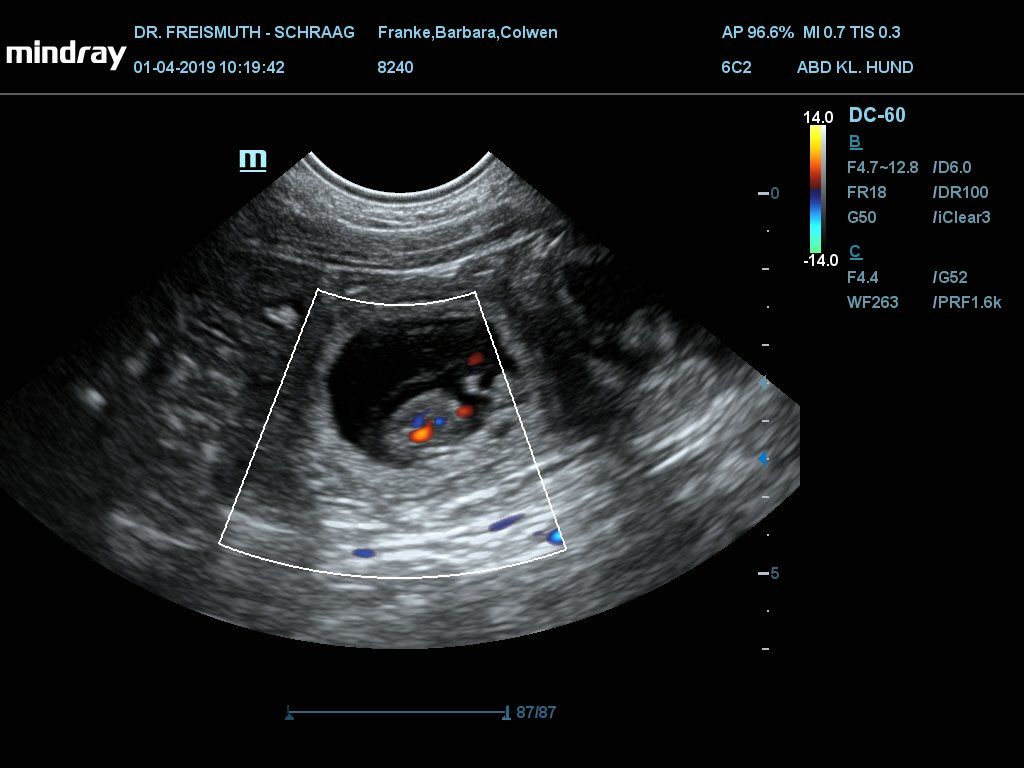
01. April 2019 (31. Tag - 5. Woche)
Heute Ultraschalltermin zur Trächtigkeitsbestätigung.
Ich bin doch etwas nervös, vor allem weil bei drei anderen Würfen fast zur gleichen Zeit keine, oder nur sehr wenige Welpen gesehen wurden.
Als ich beim Schallen den ersten Welpen gesehen habe, hatte ich Tränen in den Augen vor Freude. Die Tierärztin hat 5 Welpen gesehen.
Gewicht: 29kg (-200g)
Auf Anraten unserer Tierärztin haben wir heute Hackfleisch gekocht. Das wurde mit Begeisterung gefressen.
03. April 2019 (33. Tag - 5. Woche)
Das Drama um das Fressen geht weiter.
Côlwen frisst sehr mäkelig. Was den einen Tag geht, geht am nächsten nicht mehr!
Sie weckt mich jede Nacht zwischen 2.30 Uhr und 5 Uhr um in den Garten zu gehen weil es ihr schlecht ist.
Umfang: Rippenbogen: 69 cm (+3 cm)
Bauch: 60 cm (+2 cm)
05. April 2019 (35. Tag -Ende 5. Woche)
Juhu, Côlwen frisst endlich wieder mit Appetit!
Heute Nacht hat sie mich nicht geweckt um im Garten Gras zu fressen. Gute Neuigkeiten!
Côlwen hält sich genau an die Beschreibung wie eine Trächtigkeit ablaufen könnte. Im Netz habe ich gefunden, dass die Hündinnen in der 4. und 5. Woche das Fressen einstellen könnten.
0beginnt die 6. Woche und der Hund frisst wieder!
Mantrailing geht immer noch auch wenn das Bäuchlein stetig wächst.
Umfang: Rippenbogen: 74 cm (+5 cm)
Bauch: 63 cm (+ 3 cm)
08. April 2019 (38. Tag - Anfang 6. Woche)
Ich habe mich zu früh gefreut; Côlwen mäkelt wieder. Sie sucht sich genau aus, was sie fressen mag. Am liebsten Innereien und Futter mit viel Knochen.
Und natürlich werde ich wieder in der Nacht um 3 Uhr geweckt um Côlwen in den Garten zu lassen und danach noch 30-60 Minuten den Bauch zu streicheln bevor ich wieder schlafen darf,
Gestern waren wir auf dem Hundeplatz. Es war mehr Schwangerschaftsgymnastik als Training, Immerhin hat Côlwen sich bei den Anwesenden durchfressen können und so zumindest etwas im Bauch gehabt.
Seit 2 oder 3 Tagen liegt Côlwen gerne draußen im Garten und wir erwischen sie jetzt immer wieder, wie sie in Hecken und im Gebüsch nach Höhlen und Verstecken sucht.
Also wird jetzt die Wurfbox auf- und das Wohnzimmer umgebaut.
Gewicht: 30,6 kg (+1,6 kg seit dem letzten Wiegen, +1,4 kg seit Beginn)
11. April 2019 (41. Tag- späte Mitte 6. Woche)
Ordentlich Fressen scheint eindeutig etwas mit gut Schlafen zu tun zu haben. Gestern fraß Côlwen endlich mal wieder eine ausreichend große Portion mit einigermaßen Appetit und hat heute Nacht dann seit langem mal wieder durchgeschlafen.
Wohn- und Esszimmer sind jetzt umgeräumt und die Wurfkiste ist zusammengeschraubt. Heute kommt die Wurfkiste dann an den richtigen Platz und kann -theoretisch- bezogen werden.
Das Bäuchlein wächst und die Bauch-Kuschel Einheiten werden immer länger!
Die Wurfbox steht, wird aber noch nicht angenommen. Allerdings war sie schon drin.
Umfang: Rippenbogen: 73 cm (-1 cm)
Bauch: 66 cm (+3 cm)
12. April 2019 (42, Tag - Ende 6. Woche)
Trailen geht immer noch. Heute hat Côlwen extrem konzentriert und super gut gearbeitet.
Allgemein wird sie immer ruhiger und noch ausgeglichener.
Heute hat Côlwen mit anfänglichen Startschwierigkeiten mal recht gut gefressen und dadurch auch durchgeschlafen.
14. April 2019 (44. Tag - Anfang 7. Woche)
Gestern und heute hat Côlwen auch wieder gut gefressen. Gut Fressen zieht immer gut Schlafen nach sich. Ich bin also in zweierlei Hinsichten sehr froh wenn sie gut frisst. Sie kann sich und ihre Babys ernähren und ich kann schlafen!
Der Bauch wird etwas runder. Der Rücken wird etwas weicher und fängt ganz leicht an nach unten gezogen zu werden.
Viele Leute meinen nichts zu sehen was die Zunahme angeht, aber wer Côlwen kennt, sieht es.
Umfang: Rippenbogen: 76 cm (+3 cm)
Bauch 67 cm (+1 cm)
15. April 2019 (45. Tag - Anfang/Mitte 7. Woche)
Wie die Zeit vergeht! Nur noch etwa 2 1/2 Wochen bis zur Geburt!
Ich gehe davon aus, dass Côlwen immer noch Schleim absondert. Allerdings putzt sie sich so gut, dass ich keinen Schleim zu sehen bekomme.
Die Zitzen werden immer größer und leicht dunkler und die Scham wird langsam dicker.
Immer wieder geht Côlwen in ihre Wurfkiste, in der zwei ihrer Teddybären sitzen. Sie schleckt sie ab und fiepst sie an. Es ist zuckersüß wie sie sich schon um ihre "Übungswelpen" kümmert!
Gewicht: 30,7 kg (+0,1 kg seit letzter Woche/ 1,5 kg seit Anfang)
17. April 2019 (47. Tag - Mitte 7. Woche)
Gestern war ich Welpenkuscheln bei Waya Whakan/ Anke Lohausen. Als ich nach Hause kam wurde ich freudig aber kritisch begrüßt, abgeschleckt und dann MUSSTE Côlwen unbedingt ans Auto und dieses durchsuchen. Sie war fest überzeugt dass ich ihr Welpis mitgebracht hätte. Die Enttäuschung war groß als sie im Auto nichts gefunden hat.
Allerdings hat Madame gestern den ganzen Tag kaum etwas gefressen. Also war unsere Nacht nicht gerade berauschend. Ab 2 Uhr hat sie mich im ca. 1 1/2 Stunden Rhythmus geweckt weil ihr schlecht vor Hunger war. Essen konnte sie aber nichts.
Heute beim Spaziergang mit ihren Freunden, den beiden Tschechischen Wolfhunden Aragon und Abby war sie trotz wenig Schlaf gut drauf und nahm (dank Futterneid) etwas Trockenbarf.
Zuhause gibt es heute Futter in winzigen Häppchen. So habe ich schon 100-200 g Fleisch in den Hund gebettelt.
Sie muss endlich fressen, denn sie muss ja nicht nur für sich sorgen.
Und in den letzten 2 1/2 - 3 Wochen sollte die größte Gewichtszunahme stattfinden.
Umfang: Rippenbogen: 78 cm (+ 2 cm)
Bauch: 69 cm (+ 2 cm)
18. April 2019 (48. Tag - Mitte/Ende 7. Woche)
Um 6 Uhr heute Morgen beim Babybauch-Kuscheln habe ich den ersten Tritt gespürt!!! Ein unheimlich schönes Gefühl!
Heute Nacht durfte ich durschlafen!
20. April 2019 (50. Tag - Anfang 8. Woche)
Heute waren wir das letzte Mal Trailen vor der Babypause . Sie hat gute Arbeit abgeliefert, obwohl das Treppen steigen schon schwieriger wird und die Kondition auch deutlich nachlässt.
Sonst hatten wir heute einen sehr durchwachsenen Tag.
Côlwen hat den ganzen Tag keinen einzigen Bissen angerührt. Nicht mal ihre Belohnung beim Trailen hat sie genommen.
Das ist sehr schwer für mich.
Ich weiß sie benötigt ihre Kraft für die Welpen und bald auch für die Geburt. Und wenn sie dann gar nichts frisst bricht es mir fast das Herz.
Ich habe allerdings den Verdacht, dass sie gestern zuviel Stress hatte oder einen Rinderknorpel, den sie im Garten gebunkert hatte geschluckt hat und deshalb heute Bauchweh hat.
Schön war dagegen, dass wir viel Zeit zusammen im Garten verbracht haben und ich tatsächlich die erste kurze Sequenz von Bewegungen im Babybauch filmen konnte.
21.April 2019 (51. Tag - Anfang 8. Woche)
Heute wird aufgeholt was gestern nicht gefressen wurde.
Die Trailbelohnung (dieses Mal 1 1/2 kleine Becher 40% Quark mit Leberwurst), 3 1/2 Wiener Würste und fast 2 800g Dosen Nassfutter hat sie weggehauen.
Und ich glaube sie würde auch noch eine dritte Dose nachschieben... verstehe einer schwangere Hundedamen! Aber Hauptsache sie frisst!
Rein optisch wird der Bauch immer dicker, die Zitzen immer praller und die Milchbar scheint sich langsam auch zu füllen.
Umfang: Rippenbogen: 79 cm (+ 1 cm)
Bauch: 72 cm (+ 3 cm)
23. April 2019 (53. Tag - Mitte 8. Woche)
Es ist irgendwie alles sehr emotional.
Côlwen hat immer wieder 1 bis 2 "gute" Tage an denen sie gut frisst und sich gut zu fühlen scheint und dann kommt wieder ein Tag an dem sie GAR NICHTS frisst.
Wir hatten nun zwei gute Tage und heute ist wieder der nicht-fressen Tag. Das geht mir sehr nahe, da ich ja weiß wie dringend sie Nahrung für sich und die Babys braucht.
Wir wissen nicht, ob es mit dem "Stress" den Besucher mit sich bringen kommt, aber wir haben ab sofort einen absoluten Besucherstop beschlossen.
Gewicht: 31,6 kg (+ 900g seit letzter Woche, + 2,4 kg seit Anfang)
Umfang: Rippenbogen: 80 cm (+1 cm)
Bauch: 72 cm (+/- 0 cm)
ril 219
24. April 2019 (54, Tag - Mitte 8. Woche)
Heute frisst Côlwen wieder!
Ab heute messen wir die Temperatur.
25. April 2019 (55. Tag - Ende 8. Woche)
Ich bin jetzt mit Côlwen ins Wohnzimmer auf unser Sofa gezogen. Zum Einen weil es ihr so langsam Mühe bereitet die Treppen nach oben zu gehen und zum Anderen möchte ich ihr die Möglichkeit geben auch mal in die Wurfkiste einzuziehen.
Aber noch quetschen wir uns aber zusammen auf das Sofa!
Umfang: Rippenbogen: 81 cm (+ 1 cm)
Bauch: 74 cm (+2 cm)
26. April 2019 (56. Tag - Ende 8. Woche)
Ich trau es mich fast nicht zu schreiben, aber wir haben einen Lauf!
Côlwen frisst den dritten Tag in Folge gut.
Temperatur messen findet sie bescheiden! Aber da müssen wir nun durch!
Als Côlwen heute friedlich auf dem Sofa schlief, gab es eine große Babyparty in ihrem Bauch. Unfassbar wie man mit dem Tumult in sich so tief schlafen kann!
Mein Gott ist das wundervoll !!!
28. April 2019 (58. Tag - Anfang 9. Woche)
4 Tage hat Côlwen gut gefressen. Heute am 5. Tag ging wieder mal fast nichts. Sie hat heute 5x Kot abgesetzt, viel gepinkelt und sich übergeben. Ich dachte fast schon sie macht sich leer um sich auf die Geburt vorzubreiten.
Von der Zeit her wäre es möglich.
Seit gestern steht das Schlafsofa neben der Wurfbox, so dass ich bequem schlafen kann.
Umfang: Rippenbogen: 81 cm (+/- 0 cm)
Bauch: 76 cm (+ 2 cm)
29. April 2019 (59. Anfang/Mitte 9. Woche)
Heute hat Côlwen wieder gut gefressen - fast 1,5 kg Dosenfutter!
Die Geburt geht also doch noch nicht los.
Vor dem Fressen heute waren wir beim Wiegen. Ich habe beschlossen, dass ich in Zukunft (sollte es noch mal einen Wurf geben) nicht mehr wiegen werde. Das macht mich einfach nur verrückt.
Côlwens Bauch ist schön rundlich und die Welpen bewegen sich auch ganz munter.
Wir lagen fast den ganzen Tag zusammen auf dem Schlafsofa und ich durfte den Bauch streicheln.
Am Abend sind wir dann zusammen in die Wurfbox eingezogen. Ich habe angefangen in der Box zu graben und zu scharren und prompt kam sie und übernahm den Nestbau. Danach lagen wir sicher eine halbe Stunde zusammen in der Box.
Tom unser Kater wird immer heftiger aus dem Wohnzimmer/Welpenzimmer vertrieben und darf weder in die Nähe der Wurfbox noch auf unser Schlafsofa. Wir müssen so langsam gut aufpassen, dass Côlwen ihm nichts tut.
Heute war auch der erste Tag an dem Côlwen beim Spazieren gehen nicht wirklich weit vom Auto weg wollte. Wir sind zwar ein ganzes Weilchen gelaufen, aber sind dabei nie weit vom Auto weg.
Gewicht: 32 kg (+400g seit dem letzten Wiegen, 2,8 kg insgesamt)
01.05.2019
Côlwen hat uns heute 4 wundervolle und gesunde Welpen geschenkt.
Als erstes wurde unser kleiner Bub, ein stattlicher Rüde geboren.
Danach folgten noch 3 hübsche Mädels.
Bilder vom Nachwuchs folgen in Kürze.











